AI takes Human Protein Atlas to the next level

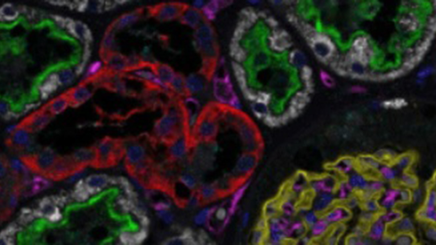
The Human Protein Atlas is a world-class Swedish research initiative that maps all proteins in the human body - the key to understanding health and disease at the cellular level.
By making this knowledge freely available to researchers worldwide, the project is accelerating the development of precision medicine, improving diagnostics and paving the way for new treatments for everything from cancer to autoimmune diseases.
Behind this pioneering effort is Professor Mathias Uhlén of KTH Royal Institute of Technology, one of Sweden's most internationally recognised researchers in biotechnology and systems biology. As the initiator and scientific leader of the Human Protein Atlas, he has built one of the world's most ambitious research programmes - a resource that is now used by thousands of researchers around the world to understand the onset and progression of disease at the molecular level.
Next generation healthcare
In the latest version of the Human Protein Atlas, artificial intelligence plays a central role. AI is used to predict the 3D structures of proteins, interpret genetic mutations and identify disease patterns in blood samples. The technology enables the analysis of huge amounts of biological data - something that was previously unthinkable - and opens up entirely new methods of diagnosis and treatment.
AI makes it possible to identify serious diseases faster and more accurately than with traditional methods. This includes cancer and neurodegenerative diseases such as Parkinson's and ALS, where early detection is crucial and can now be done without invasive procedures.
From diagnosis to personalised care
Training AI systems to recognise patterns of disease in the blood is changing the way we think about diagnostics. Not only does it reduce the risk to the patient, it also enables more accessible and cost-effective tests that can be widely used in society.
This is where the Human Protein Atlas plays a crucial role. By combining AI with the unique data set offered by the mapping, it is possible not only to identify whether a patient has a particular disease, but also to predict the course of the disease and the most effective treatment for that individual. This opens the door to truly personalised precision medicine.
A global shift in medical care
These technological developments not only mean improved diagnostics but also an opportunity to build a more sustainable and proactive model of care. The goal is to establish a new global standard for how diseases are detected and treated, where AI and advanced biomedical research work together to improve human health worldwide.