Skip to main content
To KTH's start page
KTH

Together we make a difference

Your support can be part of the solution to major societal challenges

Research to support

Shape the future

Discover research areas where your support can be a force for change. At KTH, we create an understanding of the world we live in and lay the foundation for sustainable and safe societal development where people's quality of life and health can be significantly improved.

Current research

Make a donation to KTH

You can contribute to the future of research in many different ways. For example, you can set up a foundation, donate through share dividends, give a gift via bank transfer or set up a scholarship.

How you can support KTH

Contact us

Please contact us at the Development Office if you would like to know more about how you can direct a donation towards the research that is close to your heart. We work to open doors between philanthropists and our top researchers.

Contact details Development Office

The KTH Global Academia Postdoc Program

A postdoctoral initiative to support early-career scholars, safeguarding academic freedom and deepening long-term international partnerships.

Research in focus: AI 

As Sweden's leading university of technology, KTH is at the forefront of AI research, from basic maths and machine learning to advanced deep learning and software engineering. KTH researchers develop AI that meets society's most complex challenges.

With applications in medicine, energy, civil engineering, transport and the environment, KTH contributes to creating robust, safe and ethical AI systems, which are crucial for competitive societal development.

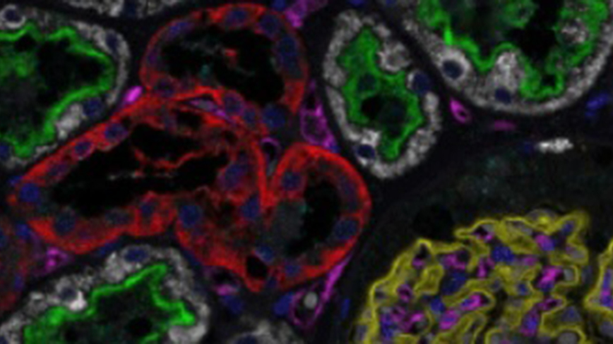
AI takes Human Protein Atlas to the next level

The Human Protein Atlas is a world-class Swedish research initiative that maps all proteins in the human body - the key to understanding health and disease at the cellular level.
By making this knowledge freely available to researchers worldwide, the project is accelerating the development of precision medicine, improving diagnostics and paving the way for new treatments for everything from cancer to autoimmune diseases.

Humanoid robots of the future in the service of humansWe who made a difference

KTH conducts pioneering research in robotics and artificial intelligence with the aim of developing robots that can not only see and act, but also understand and interact with humans in complex environments. The society of the future will be characterised by robots in our homes, workplaces and industry. They will act as
assistants, not as replacements. These robots will make everyday life easier, increase safety and take over tasks that are monotonous, dirty or dangerous.

The future of medicine is electronic

Chronic inflammation is one of the biggest global health challenges of our time. It is not only linked to autoimmune diseases such as rheumatism, MS and inflammatory bowel disease - but is also behind many cardiovascular diseases, the leading cause of death worldwide. Despite the multi-billion dollar market for anti-inflammatory drugs, there are currently no methods to treat inflammation precisely without side effects.

KTH's AI research - at the heart of a global transformation


As Sweden's leading university of technology, KTH has for decades laid the foundation for advanced technology development, through pioneering research in areas such as basic mathematics, machine learning, deep learning and software engineering.

Today, KTH holds a unique position in the ongoing AI revolution - a revolution that is not only reshaping entire industries, but is also beginning to be recognised with science's finest accolades, such as the Nobel Prize.

We made a difference

KTH Live-In Lab - where tomorrow's buildings are created

At KTH Live-In Lab, new technologies are tested in real living environments in order to more quickly translate research into finished products. Through collaboration between researchers and companies, innovations are developed for the smart buildings and cities of the future.

Jonasson Centre: From donation to innovation

Just over ten years ago, the Jonasson Centre for Medical Imaging was inaugurated at KTH Royal Institute of Technology in Flemingsberg - thanks to a large private donation.
Today, the centre conducts advanced research in body imaging to develop new diagnostic and treatment methods in healthcare.
"The donation has been absolutely crucial for us to be able to build up cutting-edge research," says Matilda Larsson, professor and head of department.

Private funding enables life-saving research

KTH professor Mathias Uhlén is the man behind one of the largest research projects in Sweden aimed at preventing and treating the diseases of our time. A dream that is no longer too distant.
"Without funding from private foundations, I would not have been able to conduct this kind of bold research," he says.

KTH Campus.

Let’s reach even further

For 200 years, KTH has worked to shape a new tomorrow. We’ve passed along old wisdom and searched for new answers. We’ve made inroads, redoubled efforts, and forged ahead. Today, we’re one of the world’s most distinguished technical universities. Despite our stature, illustrious faculty and ambitious research pursuits, there’s still a lot we need to learn more about. There’s still so much left to explore, solve, and understand.

Your support can aid in solving the major societal challenges. Together, we can create a more sustainable tomorrow for people and the planet. Let’s explore the unanswered questions and aspire beyond the undiscovered.

Let’s reach even further.