Ny screening upptäcker cancer tidigare än dagens metoder

NYHET
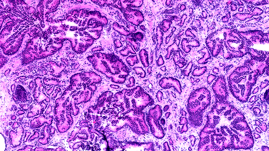
Forskning vid Science for Life Laboratory visar möjligheten att upptäcka genetiska mutationer i mänskliga organ långt tidigare än de screeningmetoder som används idag. Forskarna använder en metod utvecklad vid KTH för att upptäcka cancertumörer. Den går igenom till synes frisk (benign) vävnad och letar efter den genetiska kod som tumörer har.
Joakim Lundeberg, professor på KTH, är den som lett forskningsarbetet. Han berättar att den nya screeningmetoden baseras på spatial transkriptomik, en teknik som kan kartlägga vävnad utan att samtidigtförstöra den.
Forskningsarbetet har precis publicerats i Nature, och förutom Joakim Lundeberg har forskare från Oxfords universitet, Karolinska institutet och Science for Life Laboratory (SciLifeLab) deltagit i arbetet. De nya vetenskapliga rönen som aldrig tidigare rapporteras visar att de genetiska förändringarna i till synes opåverkade celler från en prostatakörtel matchar de i tumörceller.

– Upptäckten är en stor överraskning. Den kan inte göras i en vanligt rutinundersökning i mikroskop. Vi kan se saker utanför tumörer, och det som är så spännande är att vi får en förståelse för utveckling från frisk vävnad till att tumörer etablerar sig. Det är faktiskt möjligt att vi nu kan identifiera de allra första händelserna i cancerutvecklingen. Föreställ dig sedan att vi kan definiera nya biomarkörer som kan användas vid screening redan innan tumörer formats, säger Joakim Lundeberg, professor i molekylärbiologi på KTH.
Som att stå under en lyktstolpe
Spatial transkriptomik skiljer sig från histologi, det vill säga biologisk vävnad studeras visuellt med mikroskopi av en patolog.
– Histologi är som att stå under en lyktstolpe och titta på vävnad, enbart med fokus på tumören och inte de omgivande vävnadsdelarna och omständigheterna.
Spatial transkriptomik är å sin sida objektiv, fortsätter Joakim Lundeberg, och ger mer omfattande information än mikroskopi. En faktor som emellertid påverkar ett mer utbredd kliniskt användande är kostnaden. Enligt Joakim Lundeberg är Moores lag tillämpbar när allt fler onkologer bekantar sig med forskarnas screeningmetod.
En av de som börjar använda screeningmetoden är Alastair Lamb, en av studiens medförfattare och urolog som fokuserar på patienter med prostatacancer. Han arbetar vid Oxfords universitet och berättar i ett pressuttalande från universitetet att han och andra verksamma tidigare inte haft tillgång så här mycket kunskap och information.
– Forskningframstegen har stor påverkar på möjligheten att ställa diagnoser, och potentiellt också för beslutsfattandet runt vilka delar av en cancer som behöver behandlas, säger Alastair Lamb.
Text: David Callahan
För mer information, kontakta Joakim Lundeberg på joakim.lundeberg@scilifelab.se.